류마티스 관절염 치료와 효과적인 관리법
📋 목차
류마티스 관절염은 자가면역 질환의 일종으로 관절의 염증과 통증을 유발하는 만성 질환이에요. 시간이 지나면서 관절 변형과 기능 저하가 발생할 수 있지만, 조기에 치료하고 관리하면 삶의 질을 유지할 수 있어요.
이번 글에서는 류마티스 관절염의 원인과 증상, 효과적인 치료법과 생활 관리 방법까지 자세히 알아볼게요.
류마티스 관절염이란?



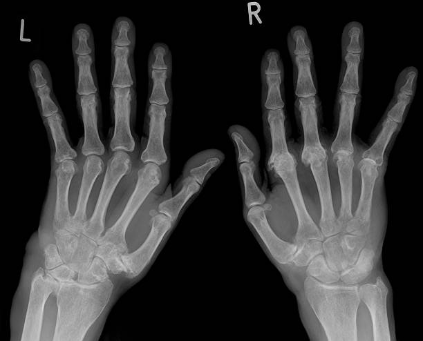
류마티스 관절염(Rheumatoid Arthritis, RA)은 자가면역 질환의 일종으로, 면역 체계가 자신의 관절을 공격하여 염증을 유발하는 만성 질환이에요. 시간이 지나면서 관절이 손상되고 변형될 수 있으며, 전신 피로와 통증을 동반하는 경우가 많아요.
💡 류마티스 관절염의 특징
| 특징 | 설명 |
|---|---|
| 자가면역 질환 | 면역 체계가 자신의 관절을 공격하여 염증과 손상을 유발 |
| 대칭적인 관절염 | 양쪽 손, 발, 무릎 등 대칭적으로 관절염 발생 |
| 만성 질환 | 완치가 어렵고 지속적인 관리가 필요 |
| 전신 증상 동반 | 피로, 체중 감소, 발열 등이 동반될 수 있음 |
🔎 류마티스 관절염과 일반 관절염의 차이
| 구분 | 류마티스 관절염 (RA) | 퇴행성 관절염 (OA) |
|---|---|---|
| 원인 | 면역 체계 이상으로 발생 | 노화나 과도한 사용으로 연골 손상 |
| 통증 양상 | 아침에 심하고 오래 지속 | 활동 후에 심해짐 |
| 침범 부위 | 양쪽 손, 발 등 대칭적으로 발생 | 무릎, 엉덩이 등 국소적으로 발생 |
| 치료 방법 | 면역 억제제, 항류마티스 약물 치료 | 진통제, 물리치료, 수술 |
❗ 류마티스 관절염을 방치하면?
- 관절 변형 - 손가락이 구부러지거나 뼈가 변형될 가능성
- 운동 기능 저하 - 관절 강직과 통증으로 일상 활동이 어려워짐
- 심혈관 질환 위험 증가 - 염증이 혈관 건강에도 영향을 미칠 수 있음
류마티스 관절염은 조기에 발견하고 적극적으로 치료하면 관절 손상을 최소화하고 삶의 질을 유지할 수 있어요.
이제 "류마티스 관절염의 주요 증상" 섹션으로 넘어가 볼게요.
류마티스 관절염 증상 검색결과 : 네이버 지식iN
류마티스 관절염 증상의 지식iN Q&A 검색결과입니다. 궁금증을 해결하지 못했다면 지식iN '질문하기'를 해보세요.
kin.naver.com
류마티스 관절염의 주요 증상



류마티스 관절염의 증상은 관절의 염증과 통증이 가장 대표적이지만, 전신적인 증상도 함께 나타날 수 있어요. 초기에는 미미한 불편함으로 시작되지만, 조기에 치료하지 않으면 관절 변형과 기능 저하로 이어질 수 있어요.
💡 류마티스 관절염의 대표 증상
| 증상 유형 | 설명 |
|---|---|
| 관절 통증 | 손가락, 손목, 무릎 등 여러 관절에서 통증 발생 |
| 아침 강직 | 아침에 일어날 때 관절이 뻣뻣하고 움직이기 어려움 |
| 피로감 | 만성 피로와 무기력감이 지속됨 |
| 관절 부종 | 염증으로 인해 관절이 붓고 열감이 느껴짐 |
| 손가락 및 발가락 변형 | 심해지면 관절이 휘어지거나 변형될 수 있음 |
🔎 류마티스 관절염이 의심되는 상황
- 아침에 관절이 뻣뻣하고 1시간 이상 지속됨
- 양쪽 손이나 발 관절에서 동시에 통증이 발생함
- 손가락, 손목, 무릎 등이 이유 없이 붓고 열이 남
- 피로감이 지속되고 전신적으로 무기력함
- 시간이 지날수록 증상이 악화됨
❗ 류마티스 관절염을 방치하면?
- 관절 변형 - 손가락과 발가락이 휘어지고 관절 기능 저하
- 운동 능력 감소 - 통증과 강직으로 인해 일상 활동 어려움
- 심혈관 질환 위험 증가 - 염증이 혈관에도 영향을 미쳐 심장 건강에 악영향
류마티스 관절염은 조기에 치료할수록 증상을 완화하고 관절 변형을 예방할 수 있어요. 의심 증상이 있다면 즉시 병원을 방문해 검사를 받아보는 것이 중요해요.
이제 "류마티스 관절염의 원인과 위험 요소" 섹션으로 넘어가 볼게요.
류마티스 관절염의 원인과 위험 요소



류마티스 관절염은 단순한 관절 질환이 아니라 자가면역 질환이에요. 면역 체계가 오작동하여 자신의 관절을 공격하면서 염증과 손상을 유발하게 돼요. 정확한 원인은 밝혀지지 않았지만, 유전적 요인과 환경적 요인이 복합적으로 작용하는 것으로 알려져 있어요.
💡 류마티스 관절염을 유발하는 주요 원인
| 원인 | 설명 |
|---|---|
| 유전적 요인 | 가족력이 있는 경우 류마티스 관절염 발병 위험 증가 |
| 면역 체계 이상 | 면역 세포가 관절을 공격하여 염증을 일으킴 |
| 환경적 요인 | 흡연, 감염, 호르몬 변화 등이 발병에 영향 |
| 호르몬 변화 | 여성 호르몬이 류마티스 관절염 발생에 영향을 미칠 수 있음 |
🔎 류마티스 관절염의 위험 요소
- 여성 - 남성보다 약 2~3배 더 발병 가능성이 높음
- 가족력 - 부모나 형제 중 류마티스 관절염 환자가 있다면 위험 증가
- 흡연 - 흡연은 류마티스 관절염 발병 위험을 2배 이상 증가시킴
- 호르몬 변화 - 폐경 후 여성에게 더 많이 발생
- 만성 스트레스 - 면역 체계에 영향을 미쳐 염증 반응을 증가시킬 수 있음
❗ 류마티스 관절염 예방을 위한 습관
- 금연 - 담배는 면역 체계를 교란하여 염증 반응을 악화시킴
- 건강한 식습관 - 오메가-3 지방산이 풍부한 음식 섭취
- 적절한 운동 - 관절 건강을 유지하는 가벼운 운동 추천
- 스트레스 관리 - 요가, 명상, 심호흡 등으로 스트레스 조절
류마티스 관절염은 완벽히 예방할 수는 없지만, 생활 습관을 개선하면 발병 위험을 줄이고 증상을 완화할 수 있어요.
이제 "류마티스 관절염 치료법" 섹션으로 넘어가 볼게요.
류마티스 관절염 치료법



류마티스 관절염 치료의 목표는 염증을 줄이고 관절 손상을 방지하는 것이에요. 치료 방법은 약물 치료, 물리 치료, 생활 습관 개선, 수술적 치료까지 다양해요. 조기에 치료하면 관절 변형을 예방하고 일상생활을 유지할 수 있어요.
💊 류마티스 관절염 치료 방법
| 치료법 | 설명 |
|---|---|
| 약물 치료 | 항류마티스제, 스테로이드, 진통제를 사용하여 염증 조절 |
| 물리 치료 | 온열 요법, 마사지, 운동 요법 등을 통해 관절 기능 유지 |
| 생활 습관 개선 | 규칙적인 운동, 균형 잡힌 식단, 금연 등 생활 습관 조절 |
| 수술적 치료 | 관절 변형이 심한 경우 인공관절 치환술 시행 |
🔎 류마티스 관절염 치료제 종류
| 약물 종류 | 작용 | 대표 약물 |
|---|---|---|
| DMARDs (항류마티스제) | 면역 반응 조절, 질병 진행 속도 늦춤 | 메토트렉세이트, 하이드록시클로로퀸 |
| NSAIDs (소염진통제) | 통증 및 염증 완화 | 이부프로펜, 나프록센 |
| 코르티코스테로이드 | 강력한 항염증 작용 | 프레드니손 |
| 생물학적 제제 | 면역 반응 조절, 염증 억제 | 엔브렐, 휴미라 |
❗ 류마티스 관절염 치료 시 주의할 점
- 약물은 꾸준히 복용 - 증상이 완화되더라도 중단하면 재발 가능
- 정기적인 검진 필수 - 치료 효과 확인 및 부작용 예방을 위해 필요
- 생활 습관 개선 병행 - 약물만으로 완치가 어려우므로 운동과 식습관 조절
류마티스 관절염 치료는 조기에 시작할수록 관절 손상을 최소화할 수 있어요. 전문의와 상담 후 적절한 치료 계획을 세우는 것이 중요해요.
이제 "류마티스 관절염에 좋은 음식" 섹션으로 넘어가 볼게요.
류마티스 관절염에 좋은 음식



류마티스 관절염은 염증 반응을 줄이고 관절 건강을 유지하는 식습관이 중요해요. 특정 영양소는 관절 보호와 염증 완화에 도움을 줄 수 있으며, 식이 조절을 병행하면 증상 관리에 긍정적인 영향을 미칠 수 있어요.
💡 류마티스 관절염 완화에 도움이 되는 음식
| 영양소 | 효과 | 추천 음식 |
|---|---|---|
| 오메가-3 지방산 | 염증 반응 감소, 관절 보호 | 연어, 고등어, 참치, 아마씨 |
| 항산화 비타민 (비타민 C, E) | 세포 손상 방지, 면역력 강화 | 오렌지, 블루베리, 아몬드 |
| 폴리페놀 | 항산화 작용, 염증 억제 | 녹차, 카카오, 올리브유 |
| 식이섬유 | 장내 미생물 균형 유지, 염증 감소 | 귀리, 현미, 브로콜리 |
| 비타민 D | 뼈 건강 유지, 면역 조절 | 달걀노른자, 연어, 우유 |
🚫 류마티스 관절염 환자가 피해야 할 음식
| 음식 | 류마티스 관절염에 미치는 영향 |
|---|---|
| 튀긴 음식 | 포화지방이 많아 염증 반응 증가 |
| 가공 육류 (햄, 소시지) | 트랜스지방 및 나트륨 과다, 염증 촉진 |
| 설탕이 많은 음식 | 체내 염증 증가, 면역 체계 악화 |
🔎 류마티스 관절염을 위한 식습관 팁
- 항염증 식단 유지 - 가공식품 대신 신선한 채소와 단백질 섭취
- 하루 수분 섭취 충분히 - 혈액 순환을 돕고 염증 완화
- 비타민 D 보충 - 햇볕을 자주 쬐고 비타민 D가 풍부한 음식 섭취
류마티스 관절염은 식이 조절을 통해 증상을 완화할 수 있어요. 염증을 줄이는 음식과 건강한 식습관을 실천하는 것이 중요해요.
이제 "생활 습관 개선으로 통증 완화" 섹션으로 넘어가 볼게요.
생활 습관 개선으로 통증 완화



류마티스 관절염은 적절한 생활 습관을 유지하면 증상을 완화하고 관절 건강을 유지할 수 있어요. 꾸준한 관리가 관절 손상을 줄이고, 일상생활의 불편함을 최소화하는 데 중요한 역할을 해요.
💡 류마티스 관절염 환자를 위한 생활 습관
| 생활 습관 | 효과 |
|---|---|
| 규칙적인 운동 | 관절 유연성 유지, 근육 강화 |
| 스트레스 관리 | 염증 반응 감소, 면역 체계 안정 |
| 충분한 휴식 | 피로 감소, 관절 손상 방지 |
| 균형 잡힌 식단 | 염증 완화, 체중 조절 |
🔎 류마티스 관절염 환자를 위한 운동 가이드
- 가벼운 유산소 운동 - 걷기, 수영, 요가 추천
- 근력 운동 병행 - 가벼운 웨이트 트레이닝으로 근육 보호
- 스트레칭 필수 - 관절 유연성을 유지하기 위해 필요
- 무리한 운동 피하기 - 무거운 중량 운동은 관절에 부담
❗ 관절 보호를 위한 생활 습관
- 따뜻한 찜질 활용 - 혈액 순환을 돕고 통증 완화
- 손가락 및 무릎 보호 - 무리한 동작을 피하고 보호대 착용
- 충분한 수면 - 7~8시간 숙면이 염증 완화에 도움
- 흡연과 음주 피하기 - 염증을 악화시키므로 제한
류마티스 관절염은 생활 습관 개선만으로도 증상이 완화될 수 있어요. 꾸준한 관리로 관절 건강을 지키는 것이 중요해요.
이제 "류마티스 관절염 관련 자주 묻는 질문 (FAQ)" 섹션으로 넘어가 볼게요.
류마티스 관절염 관련 자주 묻는 질문 (FAQ)
🔎 류마티스 관절염에 대한 궁금증 해결
류마티스 관절염은 만성적인 자가면역 질환으로, 꾸준한 관리가 필요해요. 많은 분들이 궁금해하는 질문들을 정리했어요.
Q1. 류마티스 관절염은 완치될 수 있나요?
A. 현재로서는 완치가 어려운 질환이에요. 하지만 적절한 치료와 생활 습관 관리를 병행하면 증상을 조절하고 관절 손상을 막을 수 있어요.
Q2. 류마티스 관절염과 퇴행성 관절염의 차이는 무엇인가요?
A. 류마티스 관절염은 면역 체계 이상으로 발생하는 염증성 질환이고, 퇴행성 관절염은 연골 손상으로 발생하는 퇴행성 질환이에요. 류마티스 관절염은 양쪽 관절에 대칭적으로 발생하는 특징이 있어요.
Q3. 류마티스 관절염 환자는 어떤 운동을 하면 좋을까요?
A. 걷기, 수영, 요가 같은 가벼운 유산소 운동이 추천돼요. 하지만 무리한 근력 운동은 관절에 부담을 줄 수 있으니 피하는 것이 좋아요.
Q4. 류마티스 관절염에 좋은 음식이 있나요?
A. 네! 오메가-3가 풍부한 연어, 고등어, 견과류, 그리고 항산화 작용을 하는 과일과 채소(블루베리, 브로콜리) 등이 좋아요.
Q5. 류마티스 관절염이 있으면 날씨에 영향을 받을까요?
A. 네, 추운 날씨나 습한 날씨에는 증상이 심해질 수 있어요. 따뜻한 환경을 유지하고 체온을 보호하는 것이 중요해요.
Q6. 류마티스 관절염이 심하면 수술이 필요한가요?
A. 대부분은 약물 치료와 물리 치료로 관리할 수 있지만, 관절 손상이 심한 경우 인공관절 수술이 필요할 수 있어요.
Q7. 류마티스 관절염은 유전될 수 있나요?
A. 가족력이 있는 경우 발병 위험이 높아질 수 있어요. 하지만 생활 습관과 환경적 요인이 더 큰 영향을 미칠 수 있어요.
Q8. 류마티스 관절염을 예방할 수 있나요?
A. 완벽한 예방은 어렵지만, 금연, 건강한 식습관 유지, 적절한 운동, 스트레스 관리 등을 실천하면 발병 위험을 낮출 수 있어요.
'건강 관리' 카테고리의 다른 글
| 빈혈약 복용법, 효과적으로 철분 보충하는 방법 (0) | 2025.02.26 |
|---|---|
| 위염에 좋은 음식과 식습관 관리 (0) | 2025.02.26 |
| 갑상선 기능 저하증 증상과 효과적인 관리법 (0) | 2025.02.26 |
| 콜레스테롤 수치 개선법, 혈관 건강을 지키는 방법 (0) | 2025.02.26 |
| 고혈압 낮추는 방법, 혈압 관리의 핵심 (0) | 2025.02.26 |
댓글